かんたん控除上限額シミュレーション
家族構成を選択する
年収を選択する
家族構成を選択してください
-
詳細のシミュレーションは
ログイン後、マイページよりご確認下さい。

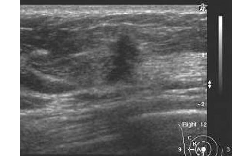
マンモグラフィー+乳房エコー検査

サイズ:
数量:
寄付額
32,000円
寄付額
返礼品詳細・お申込み・配送
原産地
日本
加工地(製造地)
四日市市
配送
常温
返礼品コード
24202-G78
決済方法
クレジットカード
クレジット
カード
ANA Pay
ANA Pay
Amazon Pay
Amazon
Pay
d払い
d払い
決済方法ごとに決済上限額が異なります。
  • 返礼品レビュー
  • 自治体への応援メッセージ