返礼品について
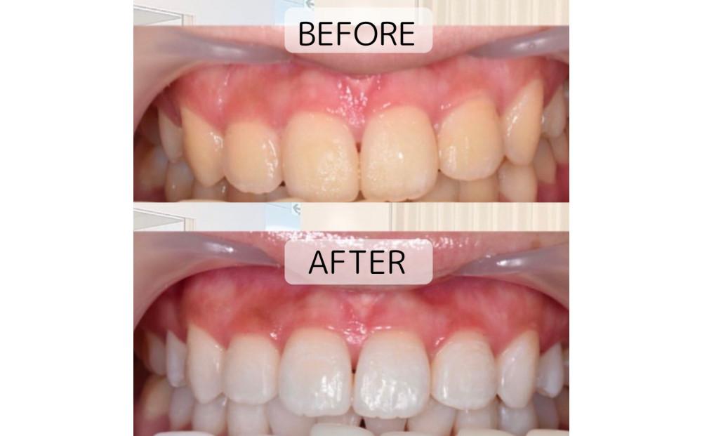
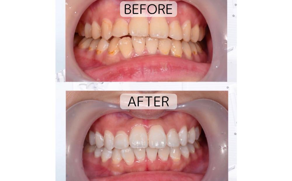
安全で効果的な薬剤を使用し、自宅で手軽にホワイトニングを実施していただけます。
マウスピースに薬剤を入れて装着するだけで、徐々に白さを実感できます。
液漏れしにくい、ぴったりフィットするマウスピースをお作りしますので、一度ご来院いただき、型取りをお願いいたします。
型取りの際に使用方法をご説明し、約3~4週間分のホワイトニングジェルをお渡しします。
マウスピースは約10日ほどで郵送いたしますので、届き次第、ホワイトニングをお試しください。
ご予約はチケットに同封の「今後の流れ」をご覧いただき、QRコードよりご予約手続きをお願いいたします。
【ご予約などのお問い合わせ】
長谷川亨・歯科クリニック
電話番号:052-262-8148
もしくは、公式ホームページをご参照ください。
※チケットはレターパックでお届けいたします。チケットの紛失や盗難など、いかなる場合でも再発行はいたしませんので、ご了承ください。
※ホワイトニングの対象歯数により、薬剤の1回分の使用量が異なります。
【ホワイトニング注意事項】
・1回の来院が必要です。(完全予約制:約30分)
・保険診療ではありません。
・ホワイトニングの効果を保証するものではありません。
・人工の歯(被せ物や詰め物)はホワイトニングされません。
・歯とお口の健康を害することはありませんが、薬剤によって知覚過敏(しみる感じ)の症状が出ることがあります。
・まれに薬剤によるアレルギー症状が現れることがあり、その場合はホワイトニング処置を中断していただきます。
・重篤な歯科疾患がある場合は、お受けいただけないことがあります。
事業者名:医療法人 健昇会 長谷川亨・歯科クリニック
連絡先:052-262-8148
営業時間:09:30-13:00
14:30-18:00
定休日:日曜・祝祭日・年末年始・お盆など
- 返礼品レビュー
- 自治体への応援メッセージ